子供の矯正
CHILDREN
子供の矯正では、時期と治療法が大人の矯正と違ってきます。子供の歯並びに於いて、早期に改善すべき問題がある場合や将来歯を抜かないで矯正治療できる可能性がある場合には、第一期として早期にその問題の改善を行い、永久歯萌出後の咬合完成の為の本格矯正を第二期として行う2段階に分けた治療の方法が適用されます。
一期治療
5、6歳頃〜10、11歳頃の混合歯列期(乳歯と永久歯が生えている時期)に行います。
本格的な矯正歯科治療(二期治療)に入る前の準備的な矯正歯科治療とも言えます。
MERIT
一期治療のメリット
- ・ 不足している歯の萌出スペースをつくりやすい
- ・ 歯を抜かない矯正治療ができる可能性が高い
- ・ 顎の発育をコントロールしやすい
- ・ 噛み合わせや、顎の成長発育にかかわる癖が治しやすい
- ・ 第二期治療がはいりやすく、治療期間が短くなるなる
一期の治療方法(予防矯正)
機能的矯正装置(拡大床、バイオネーター、ムーシールド)
ワイヤーとプラスチック床でできている装置で、上顎や下顎の成長を促します。取り外しが可能ですので、通学時や食事の際に装置を気にする必要がありません。
上顎前突(出っ歯)や下顎前突(受け口)、過蓋咬合(かみ合わせが極端に深い状態)などの治療に効果がありますが、成長期のお子様にしか使用することができません。
トレーナー矯正
トレーナー矯正は永久歯に生え変わる前の一期治療で使うことで効果を発揮します。
トレーナー矯正の特徴
- 柔らかく、取り外しができます。
食事の時に外せるので虫歯の心配が少ない。 - 学校に持っていく必要がありません。
家にいる(1時間)と寝る時に装着。 - 口呼吸を鼻呼吸へ促します。
口周りの筋肉機能を改善し、「お口ポカン」の改善にも役立つ。
二期治療
-
-
11、12歳前後以降で全ての乳歯が生え代わり永久歯が生えそろってから行う治療のことです。
全体的なワイヤーの矯正装置(マルチブラケット)を用いて
永久歯の歯並びやかみ合わせをしっかりと作り上げる矯正歯科治療です。
二期の治療方法(予防矯正)
本格矯正治療と同じくブラケットの使用が中心となります。
歯1本ずつにブラケットという留め具をつけ、そこにワイヤーを通して歯を動かしていきます。
来院の間隔
一期治療では、治療期間は1〜2年前後、1〜2か月に1回の通院となります。
上下のあごのバランスを整えたり、歯列を広げて歯がならぶスペースを作ったり、前歯を部分的なワイヤーの矯正装置でならべたりすることが主な目的です。
一期治療の目的がある程度達成したら、経過観察に切り替えます。この場合は2〜6ヶ月に1回の通院になります。
二期治療では、治療期間が2年前後、1か月に1回の通院となります。
全体的なワイヤーの矯正装置を用いて永久歯の歯ならびや、かみ合わせをしっかりと作り上げます。
子供の矯正治療例
症例名
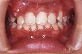
過蓋咬合(第一期のみ)
治療前

治療後
| 主訴 | 下の前歯の乱杭歯 |
|---|---|
| 診断名 | 下顎前歯の叢生を伴う過蓋咬合 |
| 初診時年齢 | 8歳3か月 |
| 主な治療装置 | 上下顎歯列弓拡大装置、前歯部ブラケット装置 |
| 抜歯部位 | 非抜歯 |
| 治療期間 | 1年2か月 |
| 治療費 | 矯正治療基本料 30万円 / 調整料3000円~5000円×15回 |
| リスク・副作用 | 矯正中は、口腔を清潔に保たないと、虫歯、歯肉炎、歯周病になるリスクがあります。ブラケット装置の使用には、口腔内の刷掃や治療協力が必要です。治療後の保定を怠ると、このような症例では、後戻りが容易に起こるので長期管理が必要です。 |
症例名
反対咬合(第一期のみ)
治療前

治療後
| 主訴 | 受け口 |
|---|---|
| 診断名 | 下顎突出型のClassⅢ不正咬合 |
| 初診時年齢 | 6歳5か月 |
| 主な治療装置 | トレーナー、前歯部ブラケット装置 |
| 抜歯部位 | 非抜歯 |
| 治療期間 | 2年4か月 |
| 治療費 | 矯正治療基本料:30万円 / 調整料 3,000~5,000円×18回 |
| リスク・副作用 | 矯正中は、口腔を清潔に保たないと、虫歯や歯肉炎になるリスクがあります。ブラケット装置の使用では、口腔内刷掃や治療協力が必要です。混合歯列期の反対咬合では、第一期と第二期の定期観察の期間が成長完了までの数年に及び、治療開始から終了までの管理が長期にわたることがあります。 |
症例名
上顎前突(第一期・第二期)
第一期の治療
治療前

治療後
第二期の治療
治療前

治療後
| 主訴 | 出っ歯 |
|---|---|
| 診断名 | 過蓋咬合を伴うClass lI Div.1不正咬合 |
| 初診時年齢 | 8歳3か月 |
| 主な治療装置 | 第一期:バイオネーターなど、第二期:マルチブラケット装置 |
| 抜歯部位 | 非抜歯 |
| 治療期間 | 二期治療(第一期:1年10か月 第二期:1年11か月) 計3年9か月 |
| 治療費 | 矯正治療基本料:第一期 30万円、第二期 30万円 / 調整料 3000~5000円×40回 |
| リスク・副作用 | 矯正中は、口腔内を清潔に保たないと、虫歯や歯肉炎になるリスクがあります。二期治療は、第一期と第二期間の定期観察の期間を含め、治療開始から終了までの管理期間が長くなるため、口腔内の刷掃や治療協力が一層重要です。第一期のバイオネーター使用の効果により下顎骨の前方成長が得られない場合は、上顎小臼歯の片顎抜歯が必要になることがあります。治療後の保定管理を怠ると、後戻りが起こります。また、将来、親知らずの存在を含めた長期管理が必要です。 |