大人の矯正
ADULT
大人の方でも矯正治療は可能です。
当院には、10代・20代の方はもとより、60代でも矯正治療を受けられる患者様もいらっしゃいます。
子どもに比べれば多少歯が動くのが遅くはなりますが、大抵の場合は治療可能です。
永久歯列(中高生〜大人)に対する本格矯正治療では、ワイヤーの矯正装置(マルチブラケット)を使用した治療が基本となります。
※現在当院では舌側矯正、アライナー矯正は行っておりません。
治療方法
歯1本ずつにブラケットという留め具をつけ、そこにワイヤーを通して歯を動かしていきます。ワイヤーは段階的に細いワイヤーから少しずつ太いワイヤーに取り替えていきます。
ブラケットには金属製のもの(メタル)のほか、目立ちにくいセラミックやプラスチック(クリア)などがあります。
PICK UP
できるだけ歯を抜かないで
矯正する非抜歯法
歯が並ぶスペースを本来の自然な状態に戻し、スペースを確保してから歯を移動させる方法が非抜歯法の考え方です。
狭いスペースに無理に並べるのではなく、スペースを確保してから歯を並べるため、健康な歯を抜かずとも矯正ができます。
ただし、歯を抜けばすぐに生まれるスペースを時間をかけて作っていくため、抜歯をする方法よりも治療に時間は掛かります。
矯正の間隔
矯正装置で歯を動かしている間は、装置調節のため1ヶ月に1度通院していただきます。
治療期間は治療の難易度によって異なります。
歯ならび全体を整える治療では、1年〜2年程度の期間を要することが多いです。
矯正治療後は、移動させた歯が落ち着くのを待つ期間(保定)を設けます。保定装置を装着して2〜6ヶ月ごとの経過観察を行っていきます。保定期間は最低でも2年程度、治療前の歯並びの状態によっては、より長期間継続することもあります。
不正咬合の種類
上顎前突 / じょうがくぜんとつ
「出っ歯」と呼ばれるもので、日本人に多い不正咬合です。上の歯が極端に前に突き出る場合や上あごの骨ごと飛び出している場合もあります。
反対咬合 / はんたいこうごう
下の前歯が上の前歯より前に出ている咬み合わせで、「受け口」の原因です。
叢生 / そうせい
「八重歯」や「乱ぐい歯」のこと。八重歯は犬歯が飛び出している状態で、乱ぐい歯は歯並びがデコボコな状態です。
正中離開 / せいちゅうりかい
いわゆる「すきっ歯」と呼ばれるもの。前歯に間が出来た歯並びのことです。
開咬 / かいこう
奥歯を咬み合わせた際に、上下の前歯が咬み合わずに開いた状態になります。
過蓋咬合 / かがいこうごう
上の歯が下の歯に必要以上にかぶさっている歯並びのこと。下の歯が上あごの裏側をかむため、上あごの歯肉が腫れることもあります。
交差咬合 / こうさこうごう
咬みあわせが左右にずれている歯並びで、あごや顔が左右に曲がっていることがある。
大人の矯正治療例
症例名
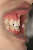
受け口
治療前

治療後
| 主訴 | 受け口 |
|---|---|
| 診断名 | 下顎前突型のClass IlI不正咬合 |
| 初診時年齢 | 16歳 |
| 主な治療装置 | マルチブラケット装置 |
| 抜歯部位 | 非抜歯(ただし、下顎第三大臼歯は抜歯) |
| 治療期間 | 2年2か月 |
| 治療費 | 矯正治療基本料:60万円 / 調整料 3,000~5,000円×29回 |
| リスク・副作用 | マルチブラケット装置による治療は、口腔を清潔に保たないと、虫歯、歯肉炎、歯周病になるリスクがあり、口腔内の刷掃や治療協力が必要です。このような症例では、下顎歯列の後方移動のために、顎間ゴムの使用が必要です。顎間ゴムの使用が不足すると、治療期間が延長するだけでなく、矯正単独治療から外科矯正治療へと変更する可能性があります。 |
症例名
開咬(前歯が開く)
治療前

治療後
| 主訴 | 物が噛みにくい |
|---|---|
| 診断名 | 開咬を伴うClass I不正咬合 |
| 初診時年齢 | 16歳 |
| 主な治療装置 | マルチブラケット装置 |
| 抜歯部位 | 上顎左右第一小臼歯及び第二大臼歯、下顎左右第一小臼歯の抜歯 |
| 治療期間 | 2年1か月 |
| 治療費 | 矯正治療基本料:60万円 / 調整料 3,000~5,000円×35回 |
| リスク・副作用 | マルチブラケット装置による治療は、口腔を清潔に保たないと、虫歯や歯肉炎などになるリスクがあり、口腔内の刷掃や治療協力が必要です。開咬の発現要因の一つである舌癖、口唇閉鎖不全、口腔周囲筋の訓練、呼吸と嚥下など機能的問題の改善と並行して、歯の移動を行います。顎間ゴムの使用も求められます。それらへの理解と協力が得られないと、開咬の治療は、長びく上、成功しないといっても過言ではありません。開咬は、後戻りしやすいので保定管理が、とくに重要です。また、骨癒着歯が、開咬の発現に関わることもあります。 |
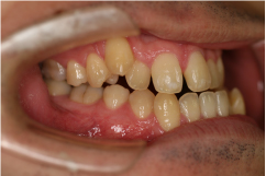
症例名
叢生(そうせい)
治療前

治療後
| 主訴 | 著しい乱ぐい歯、口元の突出 |
|---|---|
| 診断名 | 著しい叢生のClass l不正咬合 |
| 初診時年齢 | 21歳1か月 |
| 主な治療装置 | マルチブラケット装置、歯列弓拡大装置 |
| 抜歯部位 | 上下顎左右第一小臼歯の抜歯 |
| 治療期間 | 2年1か月 |
| 治療費 | 矯正治療基本料:60万円 / 調整料 3,000~5,000円×35回 |
| リスク・副作用 | 矯正中は、口腔を清潔に保たないと、虫歯、歯肉炎、歯周病になるリスクがあります。マルチブラケット装置の使用には、口腔内の刷掃や治療協力が必要です。成人では、強い歯ブラシ圧によって歯肉退縮が起こることがあるので注意して下さい。治療後の保定を怠ると、このような症例では、後戻りが容易に起こるので長期管理が必要です。 |
症例名
外科矯正
治療前

治療後
| 主訴 | 受け口、顎が歪んでいる |
|---|---|
| 診断名 | 下顎左側偏位を伴う骨格性下顎前突 |
| 初診時年齢 | 25歳9か月 |
| 主な治療装置 | マルチブラケット装置 |
| 抜歯部位 | 非抜歯 |
| 治療期間 | 2年2か月 |
| 治療費 | 保険診療自己負担額(3割負担)で、¥250,000〜¥300,000 ※外科手術費(保険)は別途(提携病院実施) |
| リスク・副作用 | 矯正中は、口腔を清潔に保たないと、虫歯、歯肉炎、歯周病になるリスクがあります。マルチブラケット装置の使用には、口腔内の刷掃や治療協力が必要です。成人では、強い歯ブラシ圧によって歯肉退縮が起こることがあるので注意して下さい。外科矯正治療は顎位が手術日に変わりますので、事前の舌訓練、嚥下練習が必要です。治療後の保定を怠ると、このような症例では、後戻りが容易に起こるので長期管理が必要です。 |